Retevmo塞尔帕替尼(Selpercatinib)治疗肺癌、甲状腺癌疗效可观
2020年5月9日,美国食品药品监督管理局(FDA)正式批准了礼来公司的Retevmo(selpercatinib,Loxo-292)胶囊用于治疗RET突变或融合的非小细胞肺癌、甲状腺髓样癌和其它类型的甲状腺癌患者。Retevmo成为目前获批的第一款专门针对具有RET基因改变的癌症患者的靶向药物!

Retevmo
RET基因是肺癌、甲状腺癌中明确的驱动基因。该基因通过断裂、融合其他与细胞生长增殖相关的基因(KIF5B、TRIM33、CCDC6和NCOA4)后,导致肿瘤的发生。该基因在NSCLC患者中的发生率约为1%~2%,在甲状腺乳头状癌(占所有甲状腺癌的85%左右)中的发生率为10%~20%。RET基因突变在甲状腺髓样癌中的发生率为60%左右,最常见的突变位点是M918T。
此次FDA对Retevmo塞尔帕替尼(Selpercatinib)的批准基于一项涉及三种类型肿瘤的患者的临床试验结果。在临床试验期间,患者口服160mg Retevmo,每日两次,直至疾病进展或出现不可耐受的毒性。主要疗效终点指标是总体缓解率(ORR)。结果显示,在105名曾接受铂类化学疗法治疗的RET融合阳性非小细胞肺癌中Retevmo治疗的有效率为64%。对有疗效的患者,81%的患者的反应持续至少六个月。

Retevmo
对从未接受过治疗的39例RET融合阳性NSCLC患者,Retevmo塞尔帕替尼(Selpercatinib)治疗的ORR为84%。对治疗有反应的患者中,58%的患者的反应持续至少六个月。
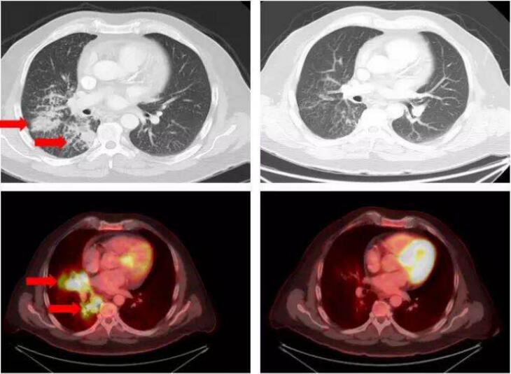
下图为一位中年肺癌缓和,RET-KIF5B融合,使用Retevmo治疗4周之后肿瘤明显缩小。

在甲状腺癌方面, Retevmo塞尔帕替尼(Selpercatinib)治疗143例先前曾接受过卡博替尼(cabozantinib)、凡德他尼(vandetanib)或两款药物兼用的晚期或转移性RET突变甲状腺髓样癌患者,有效率为69%,对于未曾接受过卡博替尼或凡德他尼治疗的晚期或转移性RET突变MTC患者,ORR为73%。突变外,Retevmo治疗19例RET融合阳性甲状腺癌,ORR为79%。对于初治的RET融合甲状腺癌患者,有效率100%。疗效可观。
Retevmo塞尔帕替尼(Selpercatinib)哪里有卖?如何购买正版Retevmo塞尔帕替尼(Selpercatinib)?
香港致泰药业代理供应Retevmo塞尔帕替尼(Selpercatinib)。香港致泰药业是经香港政府卫生署注册的药品批发商,超过30年香港药房运营经验,与全球各大制药厂建立起良好的合作关系,专注于全球新特药品进出口业务,Retevmo塞尔帕替尼(Selpercatinib)最新价格欢迎与致泰药业联络查询。

