艾乐替尼Alecensa(Alectinib)治疗非小细胞肺癌病例报告
背景:脑转移是间变性淋巴瘤激酶(ALK)阳性非小细胞肺癌(NSCLC)患者对克唑替尼耐药后最常见的肿瘤复发形式。ALK阳性NSCLC患者脑转移的治疗需要多学科方法,包括靶向治疗、化疗和放疗。目前,尚未确定对这些患者的最佳治疗方法,尽管放疗仍然是一种重要的治疗方法。
案例介绍:我们经历了一名ALK阳性NSCLC患者,该患者在克唑替尼治疗后发生脑转移。使用新一代测序在血液样本中未检测到ALK重排。按照国家综合癌症网络指导,患者接受了全脑放疗。然而,转移部位的数量出乎意料地增加了。无奈之下,患者在放疗失败后经验性地给予艾乐替尼Alecensa(Alectinib),并取得了意想不到的成功。
结论:这个案例揭示了一些新的见解。首先,液体活检是NSCLC患者组织活检的补充,主要用于EGFR突变患者。然而,应尽可能使用组织活检评估ALK重排。其次,无论液体活检中是否存在ALK重排,在对克唑替尼耐药后,NSCLC的脑转移可能对第二代酪氨酸激酶抑制剂(TKI)有反应,例如艾乐替尼Alecensa(Alectinib)和色瑞替尼。最后,在缺乏明确驱动基因的情况下,对克唑替尼耐药后的NSCLC脑转移患者,联合放疗和TKI治疗似乎是最佳的。
介绍
作为驱动基因突变,间变性淋巴瘤激酶(ALK)基因重排(ALKr)占所有非小细胞肺癌(NSCLC)病例的2%至7%。因此,靶向ALKr的药物可能会精确治疗这种亚型的NSCLC。作为靶向ALKr的第一代药物,克唑替尼已被证明对携带ALKr的NSCLC患者有效。然而,大多数患者在克唑替尼治疗后1年内出现肿瘤复发。此外,脑转移(BM)仍然是发病率和死亡率的重要原因,是最常见的复发类型。ALK阳性NSCLCBM的治疗需要多学科方法,包括靶向治疗、化疗和放疗。迄今为止,还没有确定的治疗方法。海红等。报道称,ALK阳性肺腺癌BM患者在酪氨酸激酶抑制剂(TKI)治疗或颅脑放疗后具有更好的总生存率。此外,颅脑放疗在这些患者的治疗中起着重要作用。之前没有在ALK阳性肺腺癌BM患者中报告对放疗缺乏反应。在本研究中,我们发现艾乐替尼Alecensa(Alectinib)对一例对克唑替尼耐药后ALKr阴性的放疗难治性NSCLCBM患者有效。此外,我们通过查阅相关文献讨论了不同治疗方法对ALK阳性肺腺癌BM的影响。
案例描述
一名67岁男性有超过20年的吸烟史,每天吸烟20支,尽管他在就诊前10年戒烟。2015年7月,因右侧锁骨上淋巴结肿大就诊。体格检查发现右侧锁骨上淋巴结肿大,不痛。实验室数据正常,不包括癌胚抗原(CEA)水平升高(8.7)。正电子发射断层扫描(PET)显示左肺1个占位性病变,以及右锁骨上淋巴结肿大和多发纵隔淋巴结肿大。此外,有多处骨转移,包括第四颈椎、左第一肋骨和左耻骨转移(图1A))。根据第八版肺癌分类,这种恶性肿瘤的分期为IV期(T1cN3M1b)。在右侧锁骨上淋巴结肿大部位行经皮穿刺活检。根据免疫组化分析结果,诊断为低分化腺癌(图1B)。通过新一代测序(NGS)和原位荧光杂交,在活检样本中检测到ALKr。因此开始克唑替尼治疗,3个月后所有病灶缩小。此外,此时CEA水平已降至6.7。随访结束时,除左肺病灶外,所有病灶均进一步缩小,情况稳定。实验室分析显示CEA水平正常(<5.0)。
图1

图1一名T1cN3M1bNSCLC患者。(A) PET显示左肺有一个占位性病变。右侧锁骨上淋巴结肿大1处,纵隔多发淋巴结肿大。此外,还有多处骨转移,包括第四颈椎、左侧第一肋骨和左侧耻骨。(B)根据免疫组化分析,诊断为低分化腺癌。
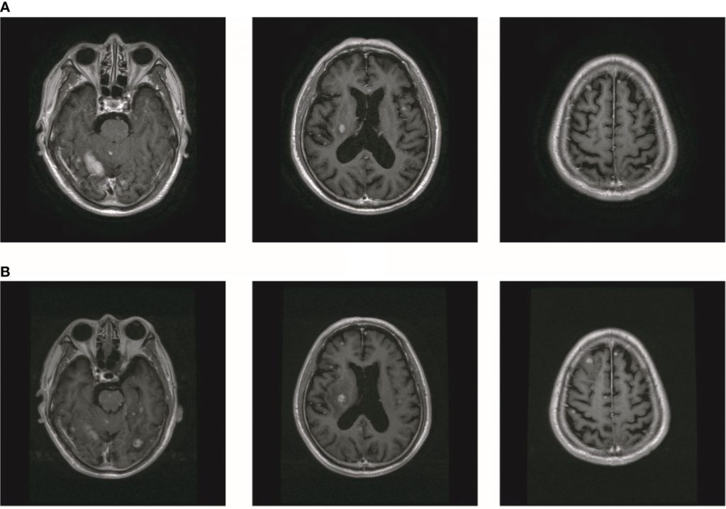
2019年10月,患者出现头晕、右髋疼痛。PET显示右侧髂骨和右侧坐骨多发骨转移(图2A)。此外,大脑中有多个转移灶(图2A)。对比增强磁共振成像(MRI)揭示了九个BM(图2B)。实验室分析显示CEA水平为3.6。我们建议对右侧髂骨进行活检。由于患者颅内压高,头晕加重,他和家人拒绝活检。在通过NGS检查的血液样本中未检测到ALKr 。继刘的报告,患者接受了针对转移灶的全脑放疗(WBRT)联合同步综合强化(SIB)。WBRT的剂量为39.6Gy,分22次给药,SIB的剂量为55Gy,分22次给药(图2C)。患者还接受了右侧髂骨病变的放射治疗(60Gy,24个疗程,图2D)。尽管放疗使患者的右侧髋部疼痛有所改善,但他的颅内压却恶化了。该患者在完成10次颅内放疗后接受了MRI。MRI显示BM的数量增加到大约50(图3A)。经过慎重考虑,我们决定完成WBRT。完成WBRT后,患者昏迷,MRI显示大约80个BM,包括脑干中的一些(图3B)。据报道,根据组织学和配对液基细胞学标本之间的免疫染色,ALK状态的总体一致率为100%。然而,孤立性中枢神经系统(CNS)进展患者的基因组改变检出率较低。由于血液检测结果值得怀疑,患者每天两次接受艾乐替尼Alecensa(Alectinib)600mg。口服艾乐替尼Alecensa(Alectinib)一周后,患者意识逐渐恢复,一个月后身体症状也逐渐好转。MRI显示BM数量减少至约60个,转移肿瘤总体积减少(图4A))。一些转移灶消失了,尤其是在脑干中。然而,由于患者自主终止降压治疗,右侧丘脑出血并破裂入脑室,导致脑出血。患者因脑出血接受治疗。同时,患者继续服用艾乐替尼Alecensa(Alectinib)。出现出血后经过一个月的治疗,患者的病情逐渐稳定。MRI显示大部分血肿被吸收,BMs数量进一步减少至约20个(图4B)。总转移性肿瘤体积也进一步减少。
图2

图2克唑替尼治疗后肿瘤复发。(A) PET显示右侧髂骨和右侧坐骨多发骨转移。此外,大脑中有多个转移灶。(B)对比MR显示患者有BM。(C) BM中放疗的剂量分布。(D)放疗在右侧髂骨病变中的剂量分布。
图3

图3放疗后BM数增加。(A) MR显示脑转移的数量增加到约50。(B) MR显示BM的数量增加到约80。
图4

图4艾乐替尼Alecensa(Alectinib)治疗后BM数量减少。(A) MR显示脑转移数目减少至约60。(B)脑转移数目进一步减少至约20。
讨论和结论
BM是NSCLC患者的常见并发症,与较差的生存结果相关,并且给肿瘤学家带来了临床挑战。在最初诊断时,10%的NSCLC患者有BM,而脑是50%的NSCLC患者的唯一肿瘤复发部位。然而,携带ALKr的NSCLC患者发生BM的风险更高。初诊时携带ALKr的NSCLC患者的BM发生率约为20%,而在对克唑替尼耐药后的患者中高达75%。因此,对BM的治疗效果在延长总生存期和提高患者生活质量方面具有重要作用。然而,对于非小细胞肺癌的BM没有标准的治疗方法。此前的研究中使用不同的策略来治疗非小细胞肺癌的BM,包括手术,放疗,化疗,靶向治疗,免疫治疗,以及不同方式。

以上图片为艾乐替尼在致泰药业实拍图
放射疗法,包括全脑放射治疗和立体定向放射外科(SRS),在治疗携带驱动基因突变的NSCLCBM中起重要作用。根据国家综合癌症网络的建议,患者接受了WBRT。为了增加局部控制,我们使用SIB来增加递送至转移灶的剂量。然而,在放疗过程中,该患者的BMs数量莫名增加。这种现象以前没有报道过。先前的研究主要发现WBRT损害认知功能和生活质量,并引用SRS作为BM患者的替代疗法。一些研究报告说,SRS实现了良好的局部控制,并导致1到3个BM患者的认知恶化较少)。据报道,单独的SRS可以适用于治疗5到15个BM的患者。最近,发现BM和ALKr患者可以独特地受益于SRS。因此,单独使用SRS可能成为治疗BM的首选策略。
NGS没有在患者的血液样本中识别出ALKr。因此,患者没有继续使用ALK抑制剂。由于克唑替尼在CNS中的蓄积较差,许多ALKrNSCLC患者在用该药物治疗后经常发生BM。第二代ALK抑制剂,如艾乐替尼Alecensa(Alectinib),可以在CNS中达到更高的浓度,从而增强ALKrNSCLC患者对BM的疗效。在ALK阳性NSCLC患者克唑替尼治疗失败后,艾乐替尼Alecensa(Alectinib)对BM的疗效明显优于化疗。目前尚不清楚放疗和TKI的组合是否比单独治疗对BM有更好的疗效。在荟萃分析中,报道,联合放疗和TKI治疗与单独放疗在疗效上没有显着差异。同样,TKI、放疗和联合替代疗法之间的中位总生存期也没有显着差异。因此,应根据患者的具体情况选择治疗方法。在我们的案例中,患者在放疗失败后凭经验接受了艾乐替尼Alecensa(Alectinib),并取得了意想不到的成功。
总之,这项研究揭示了一些新的见解。首先,液体活检是NSCLC患者组织活检的补充,主要用于EGFR突变患者。然而,应尽可能使用组织活检评估ALK重排。其次,无论液体活检中是否存在ALK重排,NSCLC的脑转移可能对克唑替尼耐药后的第二代TKI,如艾乐替尼Alecensa(Alectinib)和色瑞替尼产生反应。最后,在缺乏明确驱动基因的情况下,对克唑替尼耐药后的NSCLC脑转移患者,联合放疗和TKI治疗似乎是最佳的。
艾乐替尼Alectinib(Alecensa)哪里有卖?如何购买正版艾乐替尼Alectinib(Alecensa)?
香港致泰药业代理供应艾乐替尼Alectinib(Alecensa)。香港致泰药业是经香港政府卫生署注册的药品批发商,超过30年香港药房运营经验,与全球各大制药厂建立起良好的合作关系,专注于全球新特药品进出口业务,艾乐替尼Alectinib(Alecensa)最新价格欢迎与致泰药业联络查询。


